Patient 1 Oral Surgery Before and After Right Lateral Incisor

“I am a model. My front tooth is broken.This could ruin my career.”
Right lateral incisor replaced



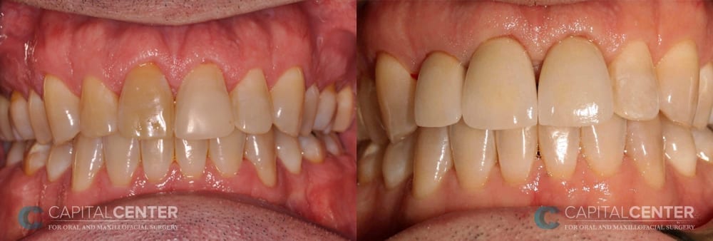
Patient 2 Oral Surgery Before and After Upper Jaw Reconstruction

“I hate my smile. All my teeth are moving”
Complete upper jaw reconstruction


Patient 3 Oral Surgery Before and After Upper and Lower Jaw Reconstruction

“My teeth hurt all the time. My breath is terrible. This is ruining my life. I really need help.”
Complete upper and lower jaw reconstruction



Patient 4 Oral Surgery Before and After Front Teeth Replacement

“I knocked my teeth out as a child. Now they are loose. I would like to get my teeth replaced in one day.”
Three front teeth replaced in one day


HOW CAN WE HELP?

    I agree to the terms & conditions
  • This field is for validation purposes and should be left unchanged.

Patient 5 Oral Surgery Before and After Bone Reconstruction

“I was hit by a bus. My front teeth and jaw are broken.”
Repair of fractures, bone reconstruction and implant supported bridge.



Patient 6 Oral Surgery Before and After Bone and Soft Tissue Reconstruction

“I was shot when my store was robbed. I would like my smile back.”
Bone and soft tissue reconstruction. Implant supported bridge.


Patient 7 Oral Surgery Before and After Soft Tissue Reconstruction

“Failed and failing implants.”
Complete upper and lower bone and soft tissue reconstruction. Upper and lower implant supported bridges.